Vos besoins
La dentition peut faire l’objet de préoccupations d’ordre médical ou esthétique. Le plus souvent, les problématiques des patients se trouvent au croisement de ces deux préoccupations.
Thérapeutique
Abcès dentaire
L’abcès dentaire correspond à une infection bactérienne, entraînant l’accumulation de pus au niveau d’une gencive ou d’une dent. Il est responsable d’une douleur lancinante, et peut déboucher sur une septicémie. Pour toutes ces raisons, l’abcès dentaire requiert de consulter un dentiste au plus tôt.
Voir plusGingivite
La gingivite est une affection fréquente, qui correspond à une inflammation des gencives. Le symptôme le plus courant est un saignement de gencives lors du brossage des dents. Bénigne et réversible, la gingivite peut déboucher sur une affection plus grave, la parodontite, lorsqu’elle n’est pas traitée à temps.
Voir plusRage de dents
La rage de dents est une forte douleur dentaire, qui se manifeste brutalement en conséquence d’une inflammation de la pulpe des dents (pulpite). Elle peut être prévenue par une bonne hygiène bucco-dentaire, et doit impérativement être traitée par un chirurgien-dentiste.
Voir plusMauvaise haleine (halitose)
La mauvaise haleine, aussi appelée halitose, est une problématique fréquente, dont les répercussions psychologiques et sociales peuvent être importantes. Le plus souvent, un détartrage assorti d’une bonne hygiène bucco-dentaire suffisent pour la diminuer.
Voir plusParodontite
La parodontite est une pathologie bucco-dentaire qui correspond à la destruction des structures de soutien des dents. Elle se développe à partir d’une gingivite (inflammation des gencives) et doit impérativement être traitée. En effet, une parodontite non traitée peut aboutir à la perte des dents.
Voir plusSaignement des gencives
Le saignement des gencives, qui se remarque lors du brossage des dents, est souvent un signe de gingivite, lorsqu’il n’est pas dû à un brossage trop énergique. Si vos gencives saignent régulièrement, un rendez-vous chez le dentiste s’impose, pour traiter la gingivite et éviter l’apparition d’une parodontite.
Voir plusDents sensibles
La sensibilité dentaire se manifeste par l’apparition d’une douleur vive lorsque les dents sont exposées à certains déclencheurs ; les plus fréquents étant les boissons et aliments chauds ou froids. Une bonne technique de brossage, et l’utilisation d’un dentifrice dents sensibles, permettent généralement de diminuer ces douleurs. Lorsque cela ne suffit pas, il est recommandé de consulter votre dentiste.
Voir plusCosmétique
Une coloration jaune des dents peut être à l’origine de divers complexes. Votre dentiste vous proposera un traitement adapté pour obtenir des dents plus blanches.
Il est courant qu’une dent se casse ou se fissure après un choc. Votre chirurgien-dentiste choisira le traitement le plus adapté pour réparer ou remplacer la dent cassée.
L’édentation désigne l’absence d’une ou de plusieurs dents chez l’adulte. La pose de prothèses dentaires permet de compenser facilement ce défaut esthétique.
Les gouttières transparentes Invisalign permettent de corriger l’alignement des dents de manière invisible et confortable.
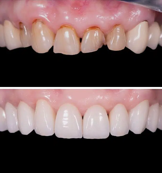
Découvrir la Galerie de photos
Découvrez les résultats des différentes solutions proposées en parodontologie.
Chirurgien dentiste
Dr Nathaniel Temstet
Je suis un chirurgien dentiste parisien spécialisé en esthétique du sourire et en implantologie. Je suis également formé au Digital Smile design, une technologie moderne qui permet de simuler numériquement votre nouveau sourire.
-
Je suis un chirurgien dentiste reconnu par l’Ordre des Médecins enregistré sous le numéro RPPS : 10100778215
-
Je suis me suis professionnalisé dans la pose de prothèses et de facettes dentaires
-
Je suis détenteur d’un D.U d’esthétique du sourire, qui me permet de proposer des techniques de blanchiment dentaire.
Les échanges avec les internautes
Alex
Publié le 21 février 2025
Bonjour Dr TEMSTET, depuis quelques jours, j’ai une douleur insoutenable dans la mâchoire, et j’ai fini par comprendre que c’est un abcès dentaire… Ça tape comme un tambour, et la douleur monte jusque dans ma tempe ! Impossible de dormir ou même de manger correctement. J’ai aussi les dents sensibles, surtout au chaud et au froid, un vrai supplice pour boire un café ou croquer dans une glace. J’ai essayé des bains de bouche et des antalgiques, mais ça ne suffit plus. Est ce qu’il existe des traitements naturels ou est ce qu’il faut obligatoirement passer par des antibiotiques ?
Dr Nathaniel Temstet
Publié le 27 avril 2025
Bonjour à vous et merci pour votre message. Il est très difficile de vous donner une réponse sans une analyse clinique et radiographique préalable. A la lecture de vos symptômes il semblerait qu’une de vos dents et fortement délabrée en voie de nécrose, il est indispensable de consulter rapidement un praticien afin d’identifier la ou les dents causales et d’établir un plan de traitement pour éviter que la situation ne se dégrade ou qu’une dent se fracture.
Bien Cordialement,
Dr TEMSTET.